华文病例丨严重骨性反合偏合矫治案例(武广增)
发布日期:2022-04-28 作者: 点击:
华文正畸
严重骨性反合偏合矫治案例
武广增
主任医师
中国正畸学科带头人之一
美国中华医学荟萃杂志副总编辑
香港全科牙科医学会高级顾问导师
澳门齿颚矫正学会会员
中华口腔医学会正畸专业委员会专科会员
世界正畸联盟(WFO)会员
取得临床科研成果5项,获国家专利32项
编写口腔正畸专著12部
发表医学论文50余篇幅
撰写博客2000余篇文章
博客访问量多达1208余万次
病例情况
性别:男
年龄:17岁
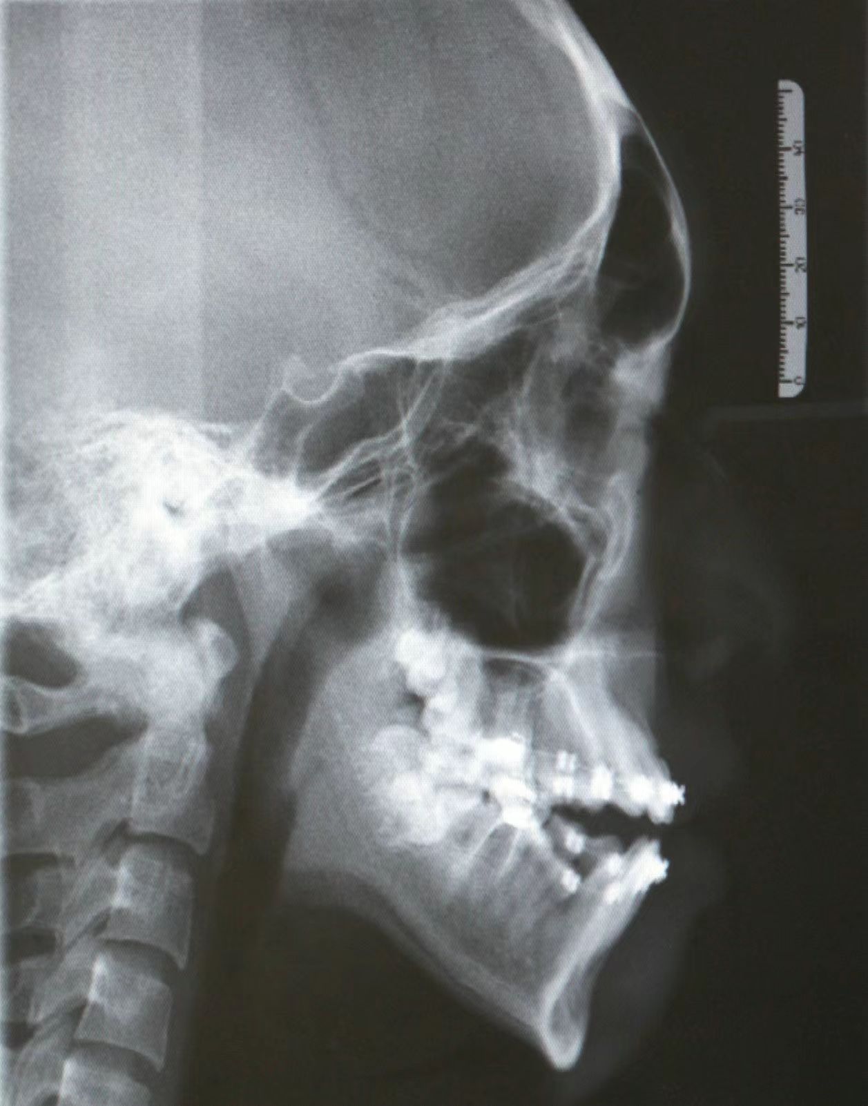
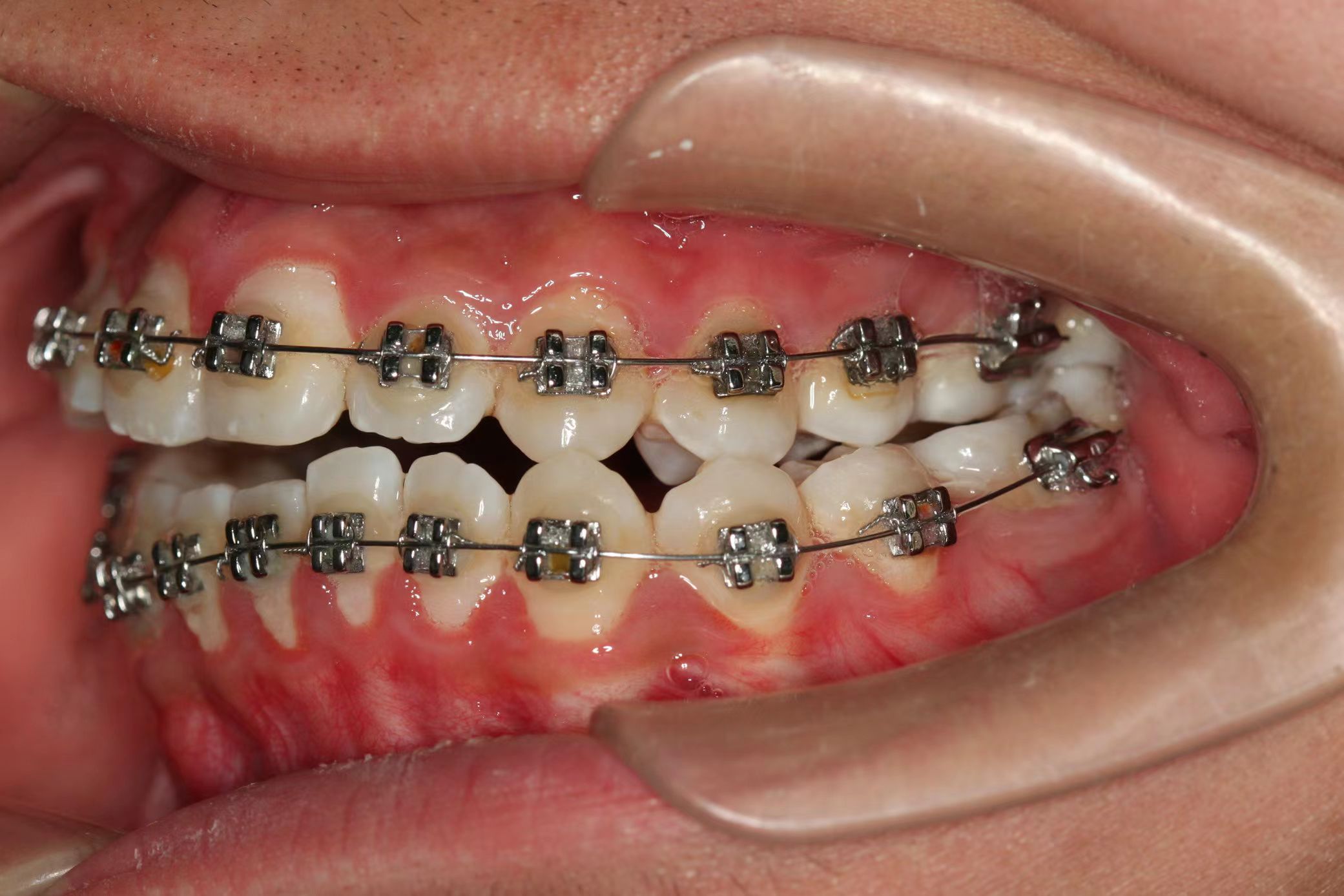
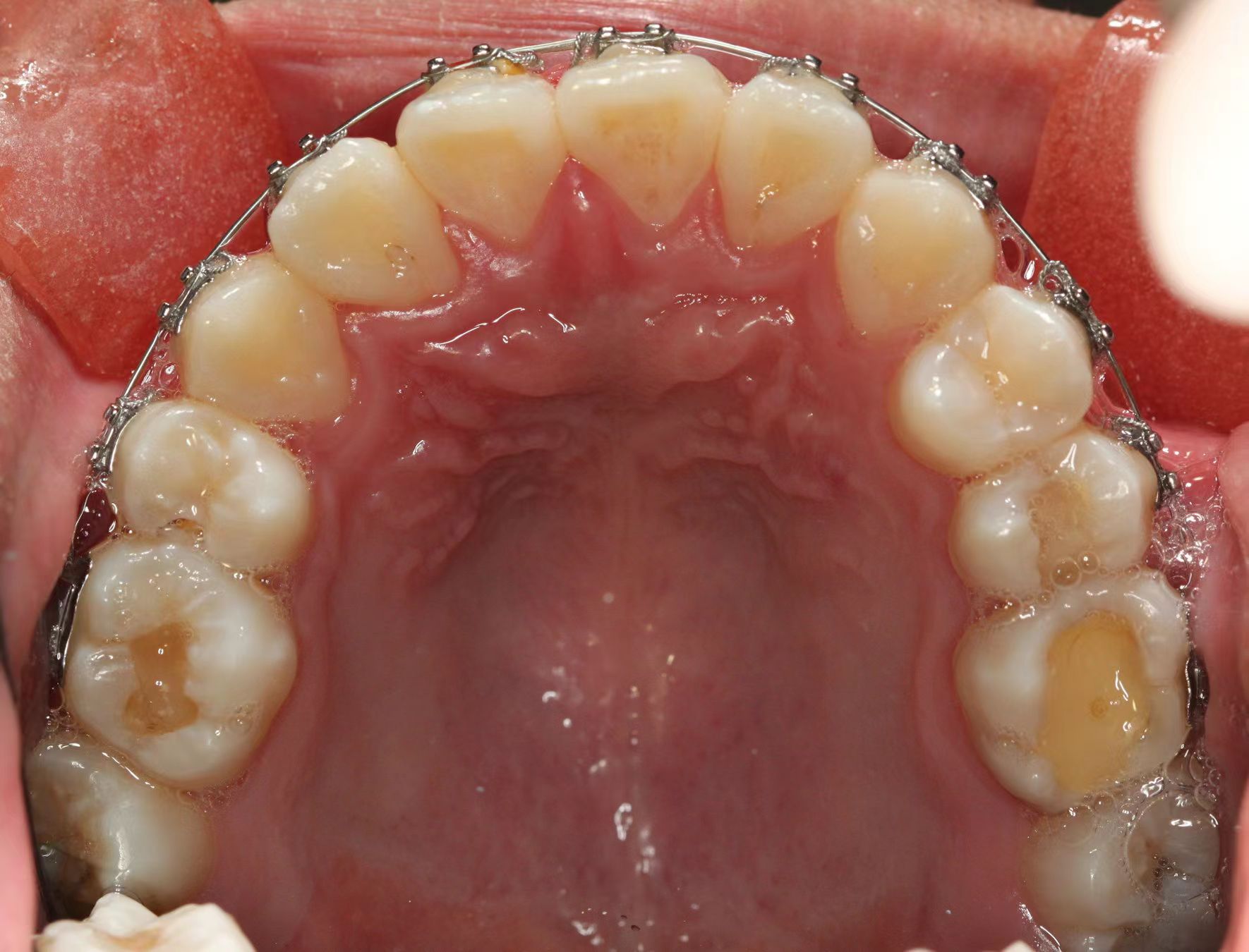
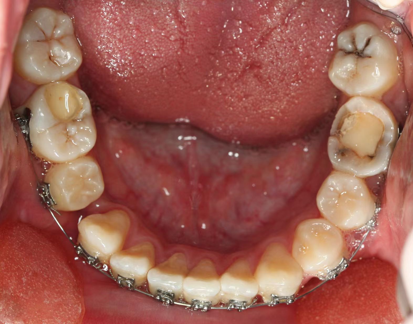
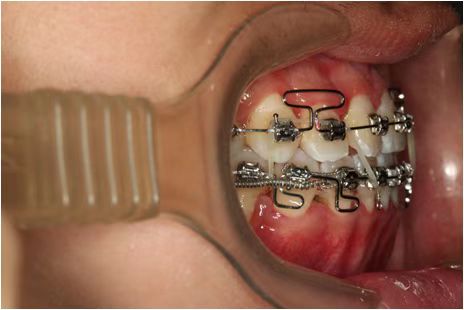
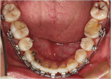
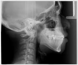
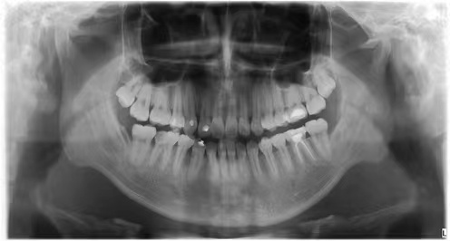
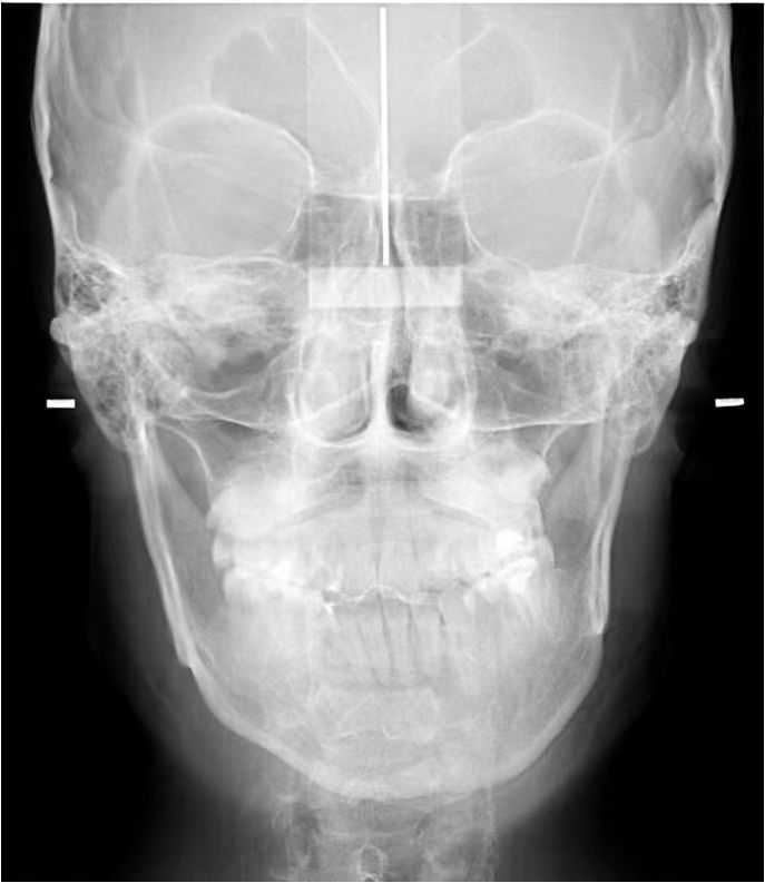
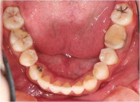
情况:不接受外科手术,在当地做了1年半的矫治,遇到困难无法进行。由外地正畸同行推荐来上海寻求非手术矫治的二手病例。武广增老师接收时的错合畸形情况,呈现严重的骨性反合偏合及侧方开合(图1-图10)。由于推荐其去口腔医院接受正颌外科手术遭到拒绝,武广增老师通过专业的检查、分析,制定一套详细的治疗计划,采用了磨牙推进器技术、武式辅弓技术等特色正畸手段获得明显效果(图2-1~图2-9)。治疗结束后也拍摄了相关照片(图3-1~图3-9)。
矫治过程:
1、设计右上颌颧突钉磨牙推进器单侧推前矫治反合及偏颌畸形;
2、采用武氏粗丝支抗牵引辅弓,通过颌间个性化弹力牵引纠正右侧侧方开合畸形;️
3、下颌牙弓每側使用方丝三个连续靴形曲和倒置蛤蟆弓技术,与上颌粗丝支抗辅弓之间配置颌间弹力牵引,纠正中线偏斜,以及建立后牙尖窝相嵌紧密咬合关系、前牙覆合覆盖关系。矫治过程中,拔除了下颌2个第三磨牙。
矫治前

图1

图2

图3

图4

图5

图6

图7

图8

图9

图10
矫治效果

图2-1

图2-2

图2-3

图2-4

图2-5

图2-6

图2-7

图2-8

图2-9
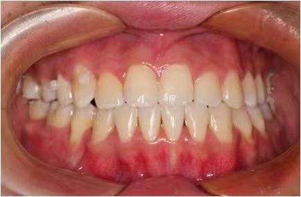
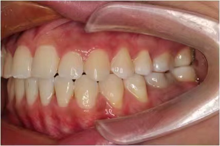
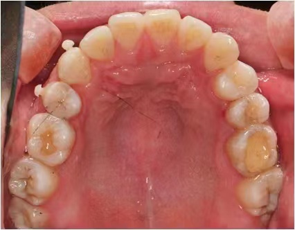
矫治后

图3-1

图3-2

图3-3

图3-4

图3-5

图3-6

图3-7

图3-8

图3-9
磨牙推进器












